News and features

The latest science from the Crick.

News

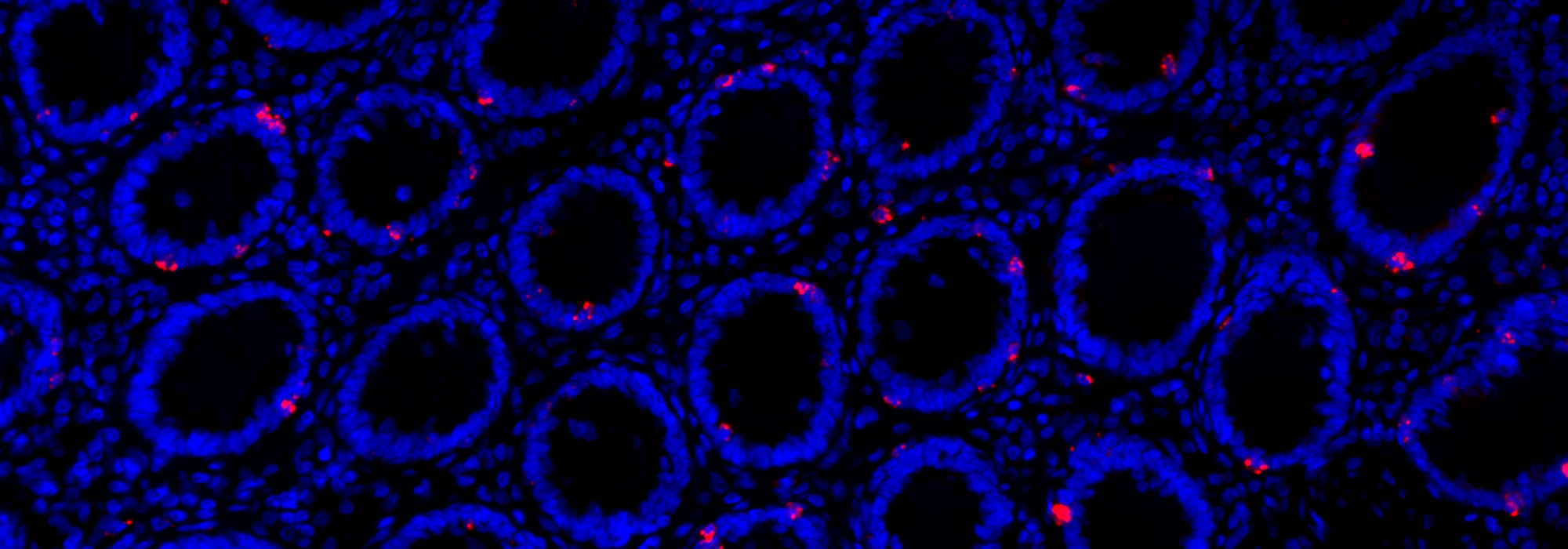
Hidden role of HIV protein could unlock new treatments

40 years after the HIV virus was first identified, researchers have uncovered an unexpected second function of one of the virus’s key proteins, a discovery that could pave the way for new types of treatments. 

Video

This powder could rescue antibiotics

Join Crick Group leader Jeannine Hess as she explains how her lab is using metal complexes and blue light to fight back against the increasing threat of antimicrobial resistance.

Featured articles

Feature

Africa: a new lens on global health

Scientists in South Africa are working with the Crick to pioneer imaging technologies that will redefine how they detect and study diseases affecting their local communities – reshaping Africa’s research landscape and accelerating the hunt for better treatments. 

News

Fighting antimicrobial resistance: a global effort for a global challenge

Potentially one of the most alarming health challenges in the 21st century, bacteria and viruses are evolving faster than the drugs designed to kill them. A new EU-led research effort is bringing scientists from across the world together to accelerate innovation against drug-resistant bacterial infections.

News

Built to breathe: mini ‘lungs’ recreate individual response to infection

Lung-on-chip device exposes earliest stages of tuberculosis infection, and opens doors to investigate diversity in disease progression and personalised treatment. 

Video

How does immunotherapy help us treat cancer?

Join oncologist and researcher Samra Turajlić as she explores why immunotherapy can be so effective for some people with cancer, but cause severe side effects or fail to work in others. 

All latest news from the Crick